Gigit distal

Gigit distal (prognathic) adalah salah satu daripada anomali dentofacial yang paling biasa, yang boleh diperhatikan kedua-duanya di hadapan gigi yang gugur dan apabila ia berubah secara kekal.
Kehadiran maloklusi selalu memerlukan banyak masalah yang berkaitan bukan sahaja dengan estetika, tetapi juga dengan fungsi mengunyah, pernafasan dan ucapan yang cacat.
Seseorang yang mempunyai maloklusi tidak kelihatan menyenangkan secara estetik, yang mempunyai kesan negatif terhadap jiwa.
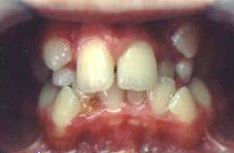
Gigit prognathic adalah sejenis gigitan apabila tulang rahang atas menonjol ke hadapan dengan mandibular. Dengan patologi jenis ini, nisbah semua gigi dilanggar.
Gigit distal dicirikan oleh gejala berikut:
- Rahang bawah, berhubung dengan bahagian atas, beralih ke belakang.
- Rahang atas tulang adalah sangat maju, atau rahang bawah kurang berkembang.
- Antara gigi corong atas dan bawah terdapat jurang membujur.
- Dalam ketiadaannya, gigi atas boleh beralih ke dalam.
Bergantung kepada lokasi gigi atas, bentuk gigitan prognatik berikut dibezakan:
- Dalam kes pertama, terdapat kilasan, susunan kipas berbentuk kipas pada bahagian atas atas dan penyempitan gigi pergelangan.
- Dalam kes kedua, kecenderungan palatal dari incisors pusat atas disebut. The incisors lateral diputar sepanjang paksi dan menyimpang ke arah bibir. Jurang membujur di antara gigi gigi di atas dan bawah gigi tidak hadir.
Tanda-tanda muka gigitan distal:

- Wajahnya terlalu cembung.
- Memendekkan ketiga-tiga bahagian muka yang lebih rendah diperhatikan.
- Memendekkan bibir atas.
- Lokasi bibir bawah di belakang gigi kacukan atas.
- Mulut separuh terbuka akibat penutupan bibir yang tidak lengkap.
- Keterukan kepalan dagu.
- Kurang kekurangan atau hubungan lengkap antara gigi depan dan bawah.
- Bergantung pada kecenderungan gigi, bibir depan boleh menonjol atau, jika tiada atau mengimbangi, diratakan.
Dengan kehadiran gigitan distal, mengunyah, fungsi pernafasan dan ucapan terganggu. Tahap pelanggaran bergantung kepada keparahan gigitan dan anomali lain pada gigi.
Diagnosis anomali
Apabila menjalankan diagnostik dan merangka pelan rawatan untuk gigitan prognathic, mereka melampirkan sangat penting untuk analisis profil muka. Doktor gigi harus mempunyai idea yang jelas mengenai profil mana yang akan diberikan oleh pesakit akibat rawatan.
Keparahan gigitan bergantung pada tahap perbezaan saiz rahang atas dan bawah. Gigit distal dalam bentuk tulennya agak jarang berlaku. Selalunya terdapat gigitan yang mendalam dengan kombinasi prognathic.
Di samping itu, gigitan distal digabungkan dengan keabnormalan seperti gigitan terbuka, kedudukan gigi individu yang salah, dan penyempitan rahang.
- Untuk tujuan diagnosis berbeza dari pelbagai gigitan prognathic, tele-radiography dilakukan dengan analisis seterusnya, model rahang diagnostik dibuat dan diselidiki.
- Untuk menilai keadaan kumpulan sendi dan mengunyah otot temporomandibular, tomografi, rheografi, dan elektromilografi dilakukan.
Video: "Pembetulan menggigit pada orang dewasa"
Sebabnya
Dalam semua anak yang baru lahir, rahang bawah biasanya terletak di belakang rahang atas pada jarak hingga 10 mm. Akibatnya, wujud jurang antara mereka.
Dalam proses penyusuan susu, gigi dan perkembangan fungsi mengunyah, rahang bawah berada dalam kedudukan yang betul dan gigitan prognathic menjadi orthognathic.
- Ini adalah salah satu sebab mengapa perkembangan maloklusi adalah menyapu awal kanak-kanak dari payudara, yang dikaitkan dengan ketiadaan usaha mengisap yang merangsang pertumbuhan rahang bawah.
- Tabiat buruk seperti kanak-kanak seperti menghisap dummy, mainan, jari menyumbang kepada penyelewengan.
- Kekurangan kalsium dan fluorida dalam badan, pengecualian atau kekurangan makanan pepejal dalam diet kanak-kanak, kehilangan gigi susu prematur dan penolakan prostetik adalah faktor yang menyumbang kepada pembangunan gigitan distal.
- Kesalahan kongenital rahang, akibat trauma kelahiran, postur merosakkan, trauma ke rahang boleh menyebabkan maloklusi.
Anomali dalam pembangunan oklusi dibahagikan kepada:
- Malformasi kongenital yang diwarisi.
- Kecacatan yang diperoleh dalam pembangunan sistem dentofacial - muncul dalam proses perkembangan intrauterin atau pada zaman kanak-kanak.
Faktor-faktor berikut mempengaruhi perkembangan gigitan distal:
- Penyakit kronik organ ENT.
- Kehadiran tabiat buruk dalam kanak-kanak.
- Kehilangan gigi utama awal.
Kesan keturunan
Berdasarkan kajian, didapati bahawa gigitan prognathic adalah dominan.
- Di bawah pengaruh faktor luaran, kecenderungan pembentukan gigitan boleh berkembang atau hilang.
- Oleh itu, jika terdapat kecenderungan untuk pembentukan gigitan distal, adalah perlu untuk menyekat perkembangannya tepat pada masanya.
Penyakit kronik
Sering kali pembentukan gigitan prognathic berlaku akibat daripada kronik pilek.
- Semasa penyakit itu, disebabkan oleh kesesakan hidung, kanak-kanak terpaksa bernafas melalui mulutnya, yang menyumbang kepada pembentukan langit-langit yang tinggi.
- Rahang atasnya menyempitkan dan membentang ke hadapan.
Tabiat buruk
Kehadiran kebiasaan buruk pada kanak-kanak boleh menyebabkan pembentukan gigitan distal.

- Mereka membawa kepada anjakan rahang bawah, perubahan bentuk dan kedudukan gigi.
- Secara beransur-ansur, pelanggaran ini tetap dan sering menyebabkan perubahan dalam bentuk wajah.
- Tabiat yang mempengaruhi gigitan termasuk menghisap jari, pipi, lidah, bibir, atau pelbagai objek.
- Faktor-faktor yang menyumbang kepada pembentukan gigitan prognatik termasuk menelan yang tidak betul, tidak berfungsi dengan mengunyah, bernafas melalui mulut, dan artikulasi ucapan yang kurang baik.
Rawatan
Rawatan gigitan distal adalah lebih baik bermula sebelum gigi kekal berubah.
- Pembetulan gigitan bertujuan merangsang perkembangan dan pertumbuhan rahang bawah dan menghalang pertumbuhan rahang atas, yang dilakukan menggunakan alat khas.
- Myogymnastics boleh dimasukkan ke dalam kompleks langkah-langkah terapeutik.
- Satu perkara penting juga adalah pengecualian sebab-sebab yang mendorong perkembangan anomali (normalisasi pernafasan hidung, penghapusan tabiat buruk).
Cara untuk membetulkan gigitan:

- Terapi ortodontik.
- Rawatan instrumental dan pembedahan.
- Campur tangan pembedahan.
- Terapi gabungan
Rawatan gigitan prognatik bergantung kepada tahap perkembangan anomali dan pada usia pesakit.
- Dengan perkembangan rahang yang rendah, anda mungkin perlu menolaknya ke hadapan.
- Jika penyebab anomali adalah rahang atas yang sangat maju, maka ia perlu dikurangkan.
Rawatan maloklusi pada kanak-kanak kecil dijalankan dengan menggunakan struktur ortodontik yang boleh ditanggalkan (jurulatih, mulut gigi).
Objektif utama radas adalah untuk menghalang pertumbuhan dan perkembangan rahang atas dan merangsang perkembangan rahang bawah.
- Rawatan anomali pada orang dewasa (pada masa pertumbuhan rahang sudah berakhir) dilakukan menggunakan reka bentuk ortodontik seperti penyokong gigi.
- Di samping itu, gerbang muka boleh digunakan dan disyorkan myogymnastics. Myotherapy diperlukan untuk latihan aktif otot bulat mulut, serta menguatkan kumpulan otot mengunyah.
- Untuk mengurangkan saiz rahang bawah, satu atau lebih gigi boleh dikeluarkan.
Ramalan
- Pemenuhan semua cadangan doktor semasa tempoh pembetulan haid pada zaman kanak-kanak dan remaja membolehkan kita mengira hasil yang positif, dari sisi estetik dan fungsinya.
- Perlu difahami bahawa pembetulan mana-mana maloklusi adalah proses yang panjang, tempoh yang tidak 1-2 tahun, tetapi beberapa tahun.
- Selain itu, rawatan aktif boleh berlangsung secara purata dari 3 hingga 4 tahun, dan tempoh pengekalan hasilnya adalah dua kali ganda.
Oleh itu, lebih mudah untuk mengelakkan pembentukan anomali menggunakan langkah pencegahan daripada membetulkannya pada masa akan datang.
Komplikasi
Bukan setiap pemilik gigitan prognathic menyedari bahawa keadaan sedemikian adalah patologi.
Dalam proses kehidupan, seseorang menyesuaikan diri dengan ciri-ciri gigitan dan dia hanya prihatin tentang kehadiran masalah estetik.
Anda harus tahu bahawa, lambat laun, kehadiran gigitan distal boleh menyebabkan akibat berikut untuk tubuh:
- Fungsi mengunyah terjejas disebabkan pengagihan beban yang tidak betul semasa gigi mengunyah.
- Berisiko tinggi untuk mengembangkan karies pada bahagian belakang gigi, kerana mereka mengambil beban yang meningkat.
- Fungsi menelan terjejas.
- Kehadiran risiko awal penyakit periodontal.
- Penampilan kesakitan biasa semasa membuka mulut dan mengunyah makanan yang berkaitan dengan masalah sendi temporomandibular.
- Kesukaran dengan implantasi dan prostetik.
Pencegahan malocclusion
Langkah-langkah untuk mengelakkan pembentukan gigitan distal adalah seperti berikut:
- Keperluan untuk menyusu.
- Pemindahan kanak-kanak yang tepat pada masanya untuk penggunaan makanan pepejal.
- Pencegahan penyakit pernafasan kronik.
- Pencegahan pelanggaran postur.
- Tepat menyapih anak dari tabiat buruk.
- Pencegahan riket.
- Mengurangkan penggunaan patung.
Foto: sebelum dan selepas
![]() |
![]() |
![]() |
![]() |
![]() |
![]() |





